Kompozit Bondlama

MacHealers - Türkiye'de Kompozit Dolgu

Kompozit Bonding ile Gülüşünüzü Geliştirme

Kompozit bonding, dişlerinizdeki küçük kusurları gidermek için tasarlanmış bir diş çözümüdür, gülüşünüzü iyileştirmenin basit ve etkili bir yolunu sunar.

Ayrıca düzensiz dişleri yeniden şekillendirip boyutlarını, uzunluklarını artırarak veya onları genişleterek de düzeltebilir.

Bu tedavi, dişlerinde sadece küçük değişiklikler yapmak isteyen kişiler için en uygun olanıdır.

Kompozit Bonding'in Güzelliğini Keşfetme

Kompozit bonding, çeşitli kozmetik ve işlevsel endişeleri ele alarak gülüşünüzü geliştirmek için tasarlanmış dikkate değer bir diş tekniğidir. İşte kompozit bonding'in ne anlama geldiğine daha yakından bir bakış:

1. Özelleştirilmiş Diş Reçinesi:

  • Diş bonding, hamur gibi bir kıvama sahip özel bir kompozit reçine materyali kullanır.
  • Bu reçine, diş hekiminiz tarafından hedeflenen dişlere titizlikle uygulanır, hassas özelleştirmeye olanak sağlar.
2. Özelleştirilmiş Estetik ve İşlevsellik:
  • Dişin yüzeyine bir kabuk yerleştirilen geleneksel yaklaşımların aksine, kompozit bonding yüksek derecede özelleştirme sunar.
  • Diş hekiminiz, dişi yeniden şekillendirmek için bonding materyalini şekillendirip kalıplar, hem görünümünü hem de uzunluğunu, benzersiz estetik ve işlevsel gereksinimlerinizi karşılamak için ayarlar.
3. Sorunsuz Entegrasyon:
  • Doğal bir görünüm elde etmek, kompozit bonding'de önceliklidir.
  • Diş hekiminiz, bonding malzemesinin renginin çevreleyen dişlerinizle eşleşmesi için büyük özen gösterir, tamamen doğal görünen sorunsuz bir entegrasyon sağlar.
Kompozit bonding, hem kozmetik hem de işlevsel faydalar sunan çok yönlü ve etkili bir çözümdür. Küçük kusurları düzeltmek, hasarlı dişleri tamir etmek veya genel gülüşünüzü geliştirmek isteyip istemediğiniz, bu işlem özel ihtiyaçlarınıza göre özelleştirilebilir, ışıltılı ve kendine güvenen bir gülümseme sunar.

Türkiye'de Kompozit Bonding'in Ortaya Çıkışı: Bir Gülümseme Dönüşüm Yolculuğu

Kompozit bonding, gülüşünüzü canlandırabilecek çok yönlü ve verimli bir diş işlemidir. İşte Türkiye'deki kompozit bonding işlemine dair kapsamlı bir genel bakış:

1. Başlangıç Danışmanlığı:

  • Büyüleyici bir gülüşe doğru yolculuğunuz, Türkiye'deki diş kliniğinde yüz yüze bir danışmanlıkla başlar.
  • Bu danışmanlık sırasında diş hekimi dişlerinizi ayrıntılı bir şekilde inceleyecek ve tedavi için belirli hedeflerinizi ve beklentilerinizi tartışacaktır.
2. Renk Seçimi:
  • İşlemde kritik adımlardan biri kompozit reçinenin uygun rengini seçmektir.
  • Diş hekimi, işlem sonrasında uyumlu ve doğal bir görünüm sağlamak için doğal dişlerinizle sorunsuz bir şekilde uyum sağlayan bir ton seçecektir.
3. Diş İzolasyonu:
  • Tedavi edilen dişi izole etmek için, kompozit reçinenin bitişik dişlere yapışmasını önlemek amacıyla küçük, kare bir plastik levha kullanılır.
4. Yüzey Hazırlığı:
  • Diş hekimi, fosforik asit kullanarak dişin yüzeyini kazıyacak ve bağlama materyalinin güçlü yapışmasını teşvik eden bir doku oluşturacaktır.
5. Kompozit Reçine Uygulaması:
  • Hamur kıvamındaki kompozit reçine, dikkatlice dişe uygulanır ve istenen şekli alacak şekilde ustaca şekillendirilir.
  • Özel bir sertleştirme ışığı, reçinenin sertleşme sürecini başlatmak ve onu sıkıca yerinde tutmak için kullanılır.
6. Şekillendirme ve Parlatma:
  • Reçine yerleştirildiğinde, diş hekimi, istenen estetiği ve işlevselliği elde etmek için tedavi görmüş dişi titizlikle şekillendirir ve parlatır.
  • Bu son dokunuş, doğal dişlerinizle sorunsuz bir entegrasyon sağlar.
7. Ağrısız İşlem:
  • Kompozit bonding'in genellikle ağrısız olduğunu ve genellikle anesteziye gerek olmadığını belirtmek önemlidir.
8. İşlem Süresi:
  • Kompozit bonding tedavisinin süresi, tedavi gerektiren dişlerin sayısına ve ek prosedürlerin dahil olup olmamasına bağlı olarak değişebilir.
  • Ortalama olarak, tek bir kompozit bonding seansı genellikle 30 ila 60 dakika arasında sürer.
Türkiye'deki kompozit bonding ile, gülüşünüzü etkili ve verimli bir şekilde dönüştürmek için bir yolculuğa çıkabilirsiniz. İşlem, belirli ihtiyaçlarınıza göre özelleştirilmiştir ve nispeten kısa bir süre zarfında dikkat çekici sonuçlar sağlayabilir, size özgüvenli ve parlak bir gülüş bırakır.

Türkiye'deki Kompozit Bonding'in İyileşme Süreci & Uzun Ömürlülüğü

Kompozit bonding, minimal iyileşme süresi ile hızlı ve sorunsuz bir gülüş güzelleştirme süreci sunar. İşte tedavi sonrası beklenebilecekler:

1. Etkinliklerinize Hemen Devam Edin:

  • Kompozit bonding prosedürü, diş kliniği ziyaretinizin hemen sonrasında düzenli etkinliklerinize geri dönmenizi sağlayan bir bekleme süresi gerektirmez.
2. Dilinizi ve Dişleri Boyayan Maddelere Dikkat Edin:
  • Yeni bağlanmış dişleriniz dayanıklı olmasına rağmen, tedaviden birkaç saat sonra reçine malzemeyi dilinizle dürtmemeniz önerilir.
  • Ayrıca, dişleri boyayan yiyecek veya içeceklere ve sigaraya tedaviden en az 1-2 gün sonrasına kadar ara verin. Bu önlem, bağlı dişlerinizin başlangıçtaki parlaklığını korumaya yardımcı olur.
3. Sonuçların Uzun Ömürlü Olması:
  • Kompozit bonding sonuçları dayanıklıdır ancak kalıcı değildir. Genellikle 2-3 yıl arası sürerler.
  • Bağlamanızın ömrünü uzatmak için titiz bir ağız hijyenine rutini sürdürmek önemlidir. Diş hekiminize düzenli ziyaretlerin yanı sıra profesyonel temizlik de estetik faydaların uzatılmasına katkıda bulunur.
4. Yüksek Hasta Memnuniyeti:
  • Kompozit bonding, hızlı bir şekilde küçük kusurları giderme ve gülüşleri dönüştürme yeteneği sayesinde yüksek hasta memnuniyeti kaydetmiştir.
Özetlemek gerekirse, Türkiye'deki kompozit bonding, gülüşünüzü güzelleştirmek için hızlı ve etkili bir çözüm sunar. Minimal sonrası bakımı sayesinde, yenilenmiş dişlerinizin hemen yararlarını birkaç yıl boyunca tadabilirsiniz, bu da kalıcı sonuçlar ile hızlı bir gülüş makyajı arayanlar için popüler bir seçenek haline getirir.

Türkiye'deki Kompozit Bonding İçin Gerekli Sonrası Bakım

Kompozit bondinginizin uzun ömürlülüğünü ve görünümünü korumak kritiktir. İşte aklınızda bulundurmanız gereken bazı önemli sonrası bakım uygulamaları:

1. Sürekli Ağız Hijyeni:

  • Dişlerinizi günde iki kez, ideal olarak sabahları ve yatmadan önce iyice fırçalayın. Diş fırçanızın taze, düz kıllara sahip olmasını sağlayın ki etkili temizlik yapabilsin.
  • Günlük yemek artıklarını temizlemek ve diş eti sağlığını korumak için düzenli olarak diş ipi kullanmayı unutmayın.
2. Ağız Gargarası Kullanımı:
  • Günlük ağız bakımınıza bir ağız gargarası eklemeyi düşünün. Ağız gargarası, temizliği ve tazeliği artırabilirken ağız sağlığını destekler.
3. Diyetinize Dikkat Edin:
  • Çok sert yiyecekler tüketirken dikkatli olun, çünkü onlar bonding uygulanmış dişi potansiyel olarak zarar verebilir. Tırnak ısırma, sert nesneleri çiğneme veya dişlerinizi paket açmak için kullanma gibi alışkanlıklardan kaçının.
  • Kompozit reçine, doğal dişlerden daha gözeneklidir, bu da onu lekelere karşı daha hassas hale getirir. Diş bonding malzemesini zayıflatabilecek asidik içeceklerden sakının. Bu tür içecekler için pipet kullanmak, bonding uygulanmış dişlerle teması azaltabilir.
  • Tütün ürünlerinin dişleri sarartma olasılığı olduğu için, bunları tamamen kaçınmak uygundur.
4. Diş Gıcırdatmaya Karşı Koruma:
  • Diş gıcırdatma veya sıkma sorunu yaşıyorsanız, uyurken diş kompozit bondinginizi hasardan korumak için gece plağı takmak gereklidir.
Bu sonrası bakım yönergelerini dikkatlice izleyerek, Türkiye'deki kompozit bonding tedavinizin kalıcı güzelliği ve işlevselliğini sağlamaya yardımcı olabilirsiniz.

Neden Diğer Tedavilere Kıyasla Kompozit Bonding'i Tercih Etmeli?

Kompozit bonding, küçük kozmetik geliştirmeler arayan bireyler için tercih edilen bir seçenek haline getiren birkaç avantaja sahiptir. İşte alternatif tedaviler yerine kompozit bonding'i neden tercih edebilirsiniz:

  • 1. Maliyet Etkili: Kompozit bonding, küçük estetik sorunları ele almak için bütçe dostu bir seçenek olduğundan, alternatiflere kıyasla ekonomik bir seçimdir.
  • 2. Tersine Çevrilebilir: Dişlerinizin doğal yapısında kalıcı değişiklikler gerektiren bazı alternatif tedavilerin (örneğin veneers için diş tıraşlama) aksine, kompozit bonding tersine çevrilebilir. Bu işlem, diş azaltmayı gerektirmez, bu da isterseniz gelecekte diğer seçenekleri araştırmanıza izin verir.
  • 3. Non-İnvaziv: Kompozit bonding, geniş çapta diş şekillendirme veya çıkarma içermeyen non-invaziv bir kozmetik işlemdir. Bu, dental restorasyona muhafazakar bir yaklaşım tercih eden bireyler için uygundur.
  • 4. Hızlı İşlem: Kompozit bonding genellikle tek bir ziyarette tamamlanabilir, anında sonuçlar sağlar.
  • 5. Doğal Görünüm: Becerikli diş hekimleri, kompozit reçinenin rengini ve dokusunu doğal dişlerinizle eşleştirebilir, dikişsiz, doğal bir görünüm oluşturur.
  • 6. Çok Yönlü: Çatlaklar, çatlaklar, boşluklar ve renk değişiklikleri dahil olmak üzere bir dizi küçük estetik sorunu etkili bir şekilde ele alabilir.
  • 7. Minimal Rahatsızlık: Hastalar genellikle, geniş çapta diş hazırlığı gerektirmediği için işlem sırasında ve sonrasında minimal rahatsızlık yaşar.
Ancak, kompozit bonding'in daha geniş kapsamlı diş sorunları için veya uzun vadeli bir çözüm arayan bireyler için uygun olmayabileceğini belirtmek önemlidir. Kompozit bonding'in belirli kozmetik diş ihtiyaçlarınız ve hedeflerinizle uyumlu olup olmadığını belirlemek için diş hekiminizle görüşün.

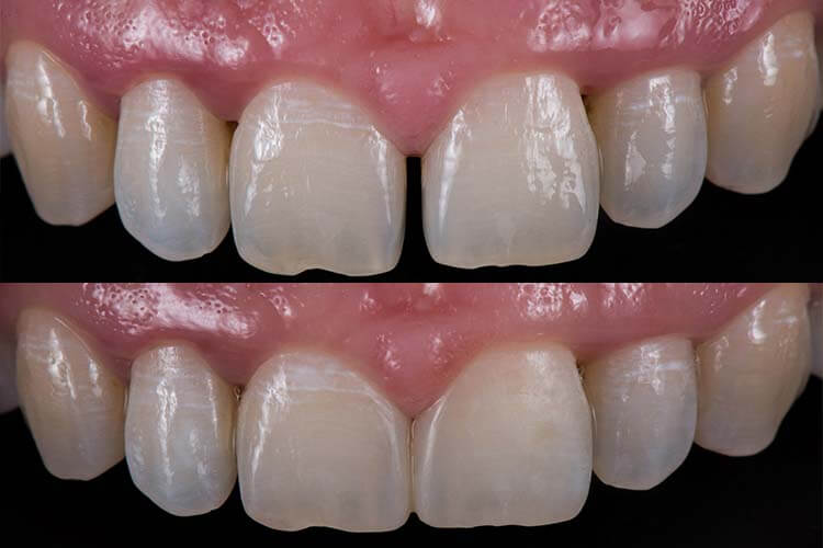
ÖNCESİ & SONRASI

Hastalarımızın Öncesi ve Sonrası Fotoğraflarındaki dönüşümlere bakın.

> Kompozit Bonding Ağrılı mıdır?
Kompozit bonding genellikle ağrı veya rahatsızlığa neden olmaz. Enamel indirgeme içermeyen bir işlem olup genellikle lokal anestezi gerektirmez.
> Kompozit Bonding Dişlere Zarar Verir mi?
Kompozit bağlama, doğru yapıldığında altta yatan diş yapısına zarar vermeyen koruyucu bir tedavidir. Ancak, sorunları önlemek için iyi ağız hijyenini sürdürmek esastır.
> Kompozit Bağlama Lekelenir mi?
Evet, kompozit bağlama, doğal dişlerden daha gözeneklidir ve zamanla lekelenebilir. Lekelere dirençli değildir, bu nedenle lekelendiren yiyecek ve içeceklerden kaçınmak, aynı zamanda iyi ağız hijyenini uygulamak görünümünü korumaya yardımcı olabilir.
> Kompozit Bağlama Helal midir?
Diş kusurları için kompozit bağlama genellikle İslam'da helal kabul edilir. Genellikle herhangi bir haram (yasak) içerik veya uygulama içermez.
> Kompozit Bağlama Kalıcı mıdır?
Kompozit bağlama kalıcı değildir. Genellikle 2-3 yıl sürer, ancak ağız hijyenine ve yaşam tarzı alışkanlıklarına bağlı olarak süresi değişebilir.
> Kompozit Bağlama Çıkarılabilir mi?
Evet, kompozit bağlama tersine çevrilebilir ve gerekirse çıkarılabilir.
> Kompozit Bonding İçin Türkiye'de Ne Kadar Kalmalıyım?
Tedavi kendisi bir günlükte tamamlanabilirken, herhangi bir takip randevusu için Türkiye'de 2-3 gün kalmanız tavsiye edilir.
> Kompozit Bonding Hatalı Hizalanmış veya Kalabalık Dişleri Düzeltir mi?
Kompozit bağlama, küçük kozmetik sorunlar için daha uygundur. Ciddi ayrışma veya kalabalık durumlar için ortodontik tedaviler olan braketler veya Invisalign önerilebilir. Diş taçları da daha hızlı sonuçlar için bir seçenek olabilir.
> Kompozit Bağlama Florozis Lekelerini Gizleyebilir mi?
Kompozit bağlama etkili bir şekilde florozis lekelerini gizleyebilir, ancak tedavinin uygunluğu lekelenmenin şiddetine bağlıdır. Diş hekiminiz belirli durumunuzu değerlendirecek ve en uygun çözümü önerecektir.
> Kompozit Bağlamayla Ağız Gargarası Kullanımı
Kompozit bonding ile birlikte alkol içermeyen bir ağız gargarası kullanılması önerilir. Alkol içeren ağız gargaraları zamanla bonding materyalini zayıflatabilir, bu yüzden alkol içermeyen bir seçenek tercih etmek tavsiye edilir.

Uygun tıbbi ücretlerimize göz atın.

Unutmayın!

Tüm prosedürler dahil: Tedavi, Ameliyat Sonrası İlaçlar, Ön & Son Danışma, Testler & Analizler.

Operasyonların maliyeti, yapılan işlem türüne ve eklenmiş olabilecek ek tedavilere bağlı olarak değişebilir.

Ameliyat için Ne Zaman Geleceğinize Karar Veremiyor Musunuz?

Fiyatlar sürekli yükseliyor, ama endişelenme, şimdi 100 dolarlık bir depozito yap ve rezervasyonunu tamamla.

  • Operasyon Fiyatını Mevcut Oranda Sabitle!
  • Rezervasyonunuzu Yapın!
  • Faturanızı Alın!
  • İstediğiniz Zaman Operasyon İçin Gelin! (3 ay içinde)
Şimdi bizimle sohbet et
Çevrimiçiyiz!
Bize Daha Fazla Bilgi Verin
Ücretsiz Teklif Alın